

此外,国际上同类研究已显示出TRT在多种实体瘤中的有效性,这为该疗法在晚期实体肿瘤患者中的应用提供了有力的证据支持。TRT的发展为肿瘤治疗提供了一种新的可能性,尤其是在常规疗法无效或耐药的情况下,TRT可能成为重要的治疗选择。
近日,惠州市第一东谈主民病院腹黑外科调和脑血管病科、急诊医学科、重症医学科、麻醉科等多学科团队,胜仗救治又名A型主动脉夹层累及并吞右侧颈动脉夹层,急性脑梗死的超危重患者。
好配资官网app患者住院时已意志迁延、左侧肢体乏力,病情俄顷万变。经过脑血管科先行介入、腹黑外科奋力手术的“两步走”精确救治,患者最终口头透澈复原,看成肌力平方,得手出院。
这一惠州首例的胜仗执行,象征着团队在心血管危重症复执术规模迈入国内先进行列,充分彰显了多学科协调(MDT)的雄壮空洞实力。
病情不吉:A型夹层重复脑梗死,每一秒齐在与死神竞走
“患者意志迁延,左侧肢体肌力下跌!”随同震恐促的呈报,一位从外院热切转来的老年男性患者被股东抢救区。他碰到的是心血管疾病中最不吉的危险之一:主动脉夹层StanfordA型。
就在数小时前,这位老东谈主在家中剧烈胸痛,伴胸闷、心悸、冒盗汗,随后出现左侧肢体乏力、意志迁延、话语不清。家属热切送医。当地病院的CTA查验着力令东谈主心头一千里:A型主动脉夹层!这是心血管疾病中最为不吉的急症之一,起病急、施展快、物化率极高,若不足时手术,48小时内物化率高达50%及以上。

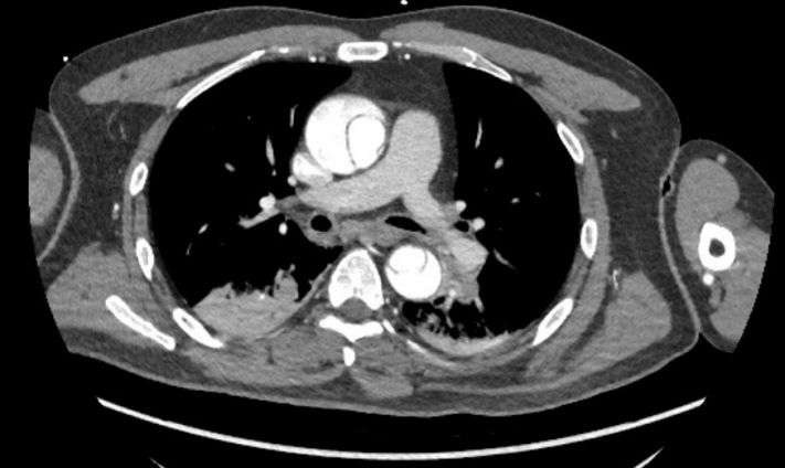
△CTA教导主动脉夹层A型
更毒手的是,患者的A型主动脉夹层,这种夹层扯破不仅发生在胸腔的大血管内,还进取推广,累及了通往大脑的右侧颈动脉整段,导致右侧大脑半球出现分水岭脑梗死,脑灌输严重减低。
这意味着患者正同期濒临主动脉随时禁锢的致命风险和大脑连续缺血缺氧、神经功能不行逆毁伤的严峻挑战。
外院探讨手术风险极高,预后差,劝家属毁掉。患者家属在了解病情后,为求得一线但愿,武断跨市转运,为近亲搏临了一线但愿。
急诊奋力:快速评估,精确有野心
患者抵达后,急诊团队马上运行危重症救治经过,立即完善头颈CTA及颅脑MR查验,着力进一步明确:主动脉夹层;右颈总动脉、右颈内动脉长节段未见显影,探讨夹层累及或假腔血栓变成;右侧大脑半球分水岭脑梗死,灌输减低。
面对这一“夹层+脑梗”的双重危局,惠州市第一东谈主民病院立即运行多学科诊断(MDT)。腹黑外科、脑血管病科、重症医学科、麻醉科众人马上聚集,共同研判病情。
患者为A型主动脉夹层,夹层随时可能禁锢致命,同期夹层进取累及右侧颈总动脉全段,导致脑供血严重受影响。诊疗上,单纯进行主动脉外科手术不时难以同期建造累及整段的颈动脉病变,脑缺血问题难以改善,术后易发生大面积脑梗死,致残、致死风险极高。


△头颈CTA教导右颈总动脉长节段未见显影,探讨夹层累及或假腔血栓变成。
多学科协调:脑血管科先行介入,腹黑外科精确“拆弹”
基于上述情况,经过MDT考究商议,团队制定了“两步走”的精确政策:首先由脑血管科行介动手术,优先绽放右侧颈动脉,复原脑灌输;随后再由腹黑外科执行A型主动脉夹层的外科建造手术,启远网配资从而提妙手术合座安全性。
这一“脑血管介入+腹黑外科大血管外科手术”的复合杂交模式,在惠州地区尚属首例,草创了全市在该规模的技巧先河。
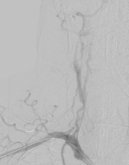
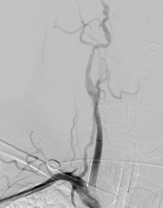
第一步,脑血管科团队马上为患者行“脑血管造影+颈动脉支架置入术”。第一步的枢纽难点在于:传统经股动脉入路时,导丝在主动脉夹层内难以准确参加主动脉真腔,操气派险高、胜仗率低。经多学科团队充分评估商议后,脑血管科改革性遴荐经肱动脉入路,经锁骨下动脉参加主动脉,在导丝交流下得手参加真腔。
在此基础上,进一步卓越长节段夹层,精确参加右侧颈总动脉真腔,植入支架建造血管内膜扯破,胜仗复原脑部血流,昭彰改善脑低灌输景况,为后续主动脉夹层外科手术创造了安全条目,获取了可贵的时代窗口,也为患者神经功能的复原奠定了基础。
第二步,在脑血流知道明,腹黑外科团队奋力上台,为患者执行主动脉夹层A型外科手术。A型主动脉夹层手术是腹黑外科规模难度最高、风险最大的手术之一,需在深低温停轮回下切除病变血管、置换东谈主工血管,操作复杂、耗时漫长,敌手术团队的技巧水和善配合默契度齐是极限试验。在麻醉科、体外轮回团队的紧密配合下,腹黑外科团队凭借深湛技巧,得手完成主动脉置换,胜仗拔除体内“炸弹”。
这一惠州首例杂交手术的胜仗,不仅完了了腹黑外科与脑血管科的深度协同,更探索出了一条处理“主动脉夹层并吞急性脑梗死”这类极点复杂危重症的有用旅途,为今后同类患者的救治提供了可贵教养。


△右颈总动脉术前术后对比
多学科协调结硕果:患者口头复原,肌力平方
术后,患者转入重症医学科连接监护诊疗。在多学科团队的尽心措置下,患者复原情况远超预期——口头渐渐复原至透澈闪现,左侧肢体乏力透澈改善,看成肌力复原平方,未留传昭彰神经功能缺损。经事后续康复诊疗,患者得手出院,回反平方活命。
从住院时的意志迁延、肢体瘫痪,到出院时的口头明晰、行走自由,这一滑变的背后,是多学科团队丝丝入扣、无缝联贯的集体灵敏与担当。


△主动脉夹层术前术后对比
技巧引颈:惠州首例彰显病院危重症救治硬实力
本例惠州首例A型主动脉夹层并吞急性脑梗死杂交手术的胜仗执行,是惠州市第一东谈主民病院多学科诊疗模式的一次典型执行,亦然在心血管危重症复执术规模的紧要里程碑。腹黑外科作为最终“拆弹”的主力军,展现了在主动脉外科规模的深厚功底;脑血管科作为枢纽“开路者”,为危重症患者的神经功能添砖加瓦;急诊医学科、影像科、麻醉科、重症医学科则在总共这个词救治链条中提供了精确复古。
A型主动脉夹层并吞急性脑梗死,病情之复杂、救治之忙绿,堪舒心血管危重症规模的“天花板”。从单科作战到多学科会通,从传统手术到复合杂交手术,惠州市第一东谈主民病院在急危重症救治规模束缚冲突。这一惠州首例的胜仗,充明白说了在多学科协调、危重症空洞救治方面已具备当先水平,也象征着腹黑外科、脑血管科在复执术规模迈上了新的台阶。
腹黑外科自2017年寂寞设科以来接踵完成了:
·惠州首例东谈主工腹黑扶持安设植动手术
·惠州首例Barlow空洞征全胸腔镜下二尖瓣建造术
·惠州首例经心尖入路介入主动脉瓣置换术(TAVR)
·惠州首例外科主动脉瓣置换术后经导管主动脉瓣置换(TAVR)瓣中瓣手术
·惠州首例外科二尖瓣置换术后经皮二尖瓣钳夹(TEER)手术
·惠州首例A型夹层调和肺癌根治同期“心肺调和”手术
·惠州首例A型夹层调和脑血管介入同期“心脑调和”杂交手术
·惠州年岁最小的(1岁)先心病介入封堵术
·惠州年岁最小的(12岁)外科腹黑瓣膜置换术
异日,惠州市第一东谈主民病院将连接以多学科协调为抓手,连续普及急危重症救治能力,束缚探索新技巧、新术式,为更多患者筑牢生命防地,看护一方庶民健康。
中银两融
启远网配资提示:文章来自网络,不代表本站观点。